KSOS - Eye Catchers

KSOS - Eye Catchers Submission List

Submission Image
Forest Fire Cataract - PSCC in retroillumination

Author: Dr. John Davis Akkara

View
Submission Image
Teardrop in the eye - Elschnig Pearl hanging over YAG abyss

Author: Dr. John Davis Akkara

View
Submission Image
Sandwitched aqueous -post DALK double AC due to aqueous filling cleft b/n graft and host.

Author: Dr. ANASWARA M JOHN

View
Submission Image
Eyelid varices-pop out after Valsalva maneuvre

Author: Dr. Nimmy J

View
Submission Image
Phacolytic glaucoma with anterior chamber filled with lens material.

Author: Dr. Preethy Prasanth

View
Submission Image
B scan in Retinoschisis

Author: Dr. Kalluru Siva Chandrika

View
Submission Image
“Fleck-tacular retina: Benign and beautiful” Familial benign fleck retina, flecks sparing the fovea

Author: Dr. Remya Edachery

View
Submission Image
BEST DISEASE WITH RETINAL HAEMORRHAGE IN FLOWER PETAL PATTERN

Author: Dr. SWATHY HARIDAS

View
Submission Image
The crumpled Macula The macula shows a characteristic 'crumpled' appearance. Dr Shishir Verghese

Author: Dr. Thilak Priyanka Saseendranath

View
Submission Image
Freedom focus hydrophilic foldable IOLbecoming fully opaque after few years m

Author: Dr. Preethy Prasanth

View
Submission Image
Prosthetic contact lens for cosmesis

Author: Dr. Preethy Prasanth

View
Submission Image
A disc buried within myelin

Author: Dr. Allen Mathew

View
Submission Image
Kera Santa-failed graft with granuloma superiorly giving the appearance of santaclause

Author: Dr. ANASWARA M JOHN

View
Submission Image
Inverse hypopyon or hyperoleon

Author: Dr. Preethy Prasanth

View
Submission Image
Lunar Eclipse in the Eye Red free image of Optic disc eclipsed by an NVD cloud.Darkness lurks.

Author: Dr. Lathika. V. K

View
Submission Image
Double disc? or a mirage?

Author: Dr. ANUSRI S NAIR

View
Submission Image
Left eye choroidal osteoma with choroidal neovascular membrane

Author: Dr. Catharine Joby

View
Submission Image
S/p OD cataract surgery in 1991, with retained nuclear fragment protruding into AC recently

Author: Dr. Catharine Joby

View
Submission Image
"The whorl that seized the destiny !"

Author: Dr. Avani B Chandran

View
Submission Image
WRATH AND DESPAIR -THE FIERY EYE The fiery nature of the eye, echoes the patients silent cry.

Author: Dr. ABHISHEK G NAIR

View
Submission Image
THE EMERALD ECLIPSE IN RETINAL REALM : ATYPICAL RETINITIS PIGMENTOSA Pericentral RP

Author: Dr. ABHISHEK G NAIR

View
Submission Image
A GALAXY BENEATH THE GAZE : STARRY BUT SILENT Benign familial fleck retina

Author: Dr. ABHISHEK G NAIR

View
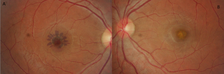
Submission Image
MIRROR OF MALADY: WHEN PATHOLOGY PAINTS THE BODY'S POTRAIT Stomach in retina

Author: Dr. ABHISHEK G NAIR

View
Submission Image
THE BLOODY SHOWER : VALSALVA RETINOPATHY Retina ruptured by effort and vision blurred by strain.

Author: Dr. ABHISHEK G NAIR

View
Submission Image
GOLDEN SHOWER IN FUNDUS:TALE OF CHOROIDAL TUBERCULOMA Image shows Vascularised tubercular granuloma

Author: Dr. ABHISHEK G NAIR

View
Submission Image
CELESTIAL SPARKLES IN THE CHAMBER OF SIGHT : ANTERIOR CHAMBER CHOLESTEROLOSIS

Author: Dr. ABHISHEK G NAIR

View
Submission Image
RETINAL TORNADO: THE FURY OF GIANT RETINAL TEAR. Optos ultrawield field retinal imaging camera image

Author: Dr. ABHISHEK G NAIR

View
Submission Image
"OMG! The agony on her eye.. .. " - A case of advanced invasive OSSN

Author: Dr. Sinumol S

View
Submission Image
An attempt to remove the agony on her eye... Excision biopsy done. HPR: Squamous cell carcinoma

Author: Dr. Sinumol S

View
Submission Image
"Foldable IOL in the bag, Folded by the bag!!!"

Author: Dr. Neelafar

View
Submission Image
A case of Olfactory Groove lesion?Meningioma Foster Kennedy Syndrome RE- DISC PALLOR LE- DISC EDEMA

Author: Dr. Aysha K

View
Submission Image
A transparent tiny sphere shaped foreign body removed from UTC of a patient with 25 X magnification

Author: Dr. Julia Raju

View
Submission Image
THE AMBER SUNSET-Posteriorly dislocated sclerotic lens with classic sunset sign from zonular loss

Author: Dr. Anju Abdulkhader

View